أضف لجمالك رونق خاص مع عيادات رونق التخصصي
فريق طبي محترف، وخدمات شاملة ونتائج لا مثيل لها
احجز موعدك الآن
لماذا تختارون رونق؟

سرعة الحجز

إتقان العمل

خدمات مميزة
ساعة عمل اسبوعياً
نسبة الرضا
عملاء اوفياء
مركز طبي متخصص يلهمك بالجمال
أضف لجمالك رونق خاص مع عيادات رونق التخصصي من فريق طبي محترف، وخدمات شاملة وتوفير عروض بكجات فريدة لتحقيق رضا العملاء دائمًا من خلال تقديم رعاية ذات جودة عالية ونتائج لا مثيل لها
جميع الأقسام
قسم الرجال
الأسنان
العناية بالبشرة
التشقير
ليزر إزالة الشعر
جلدية وتجميل
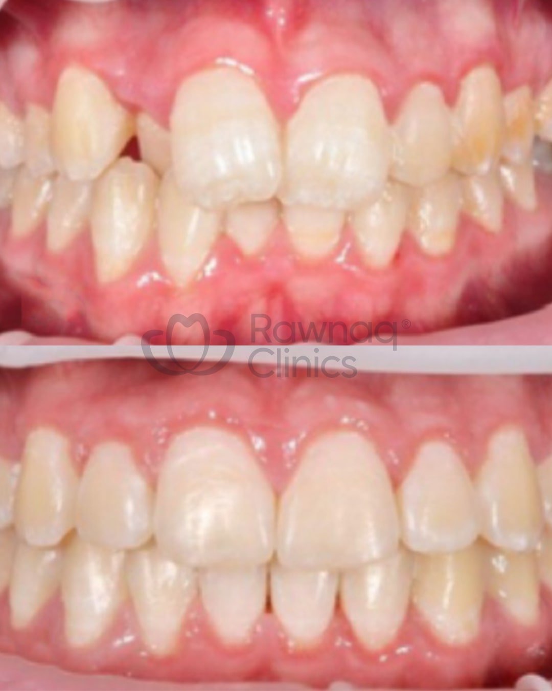
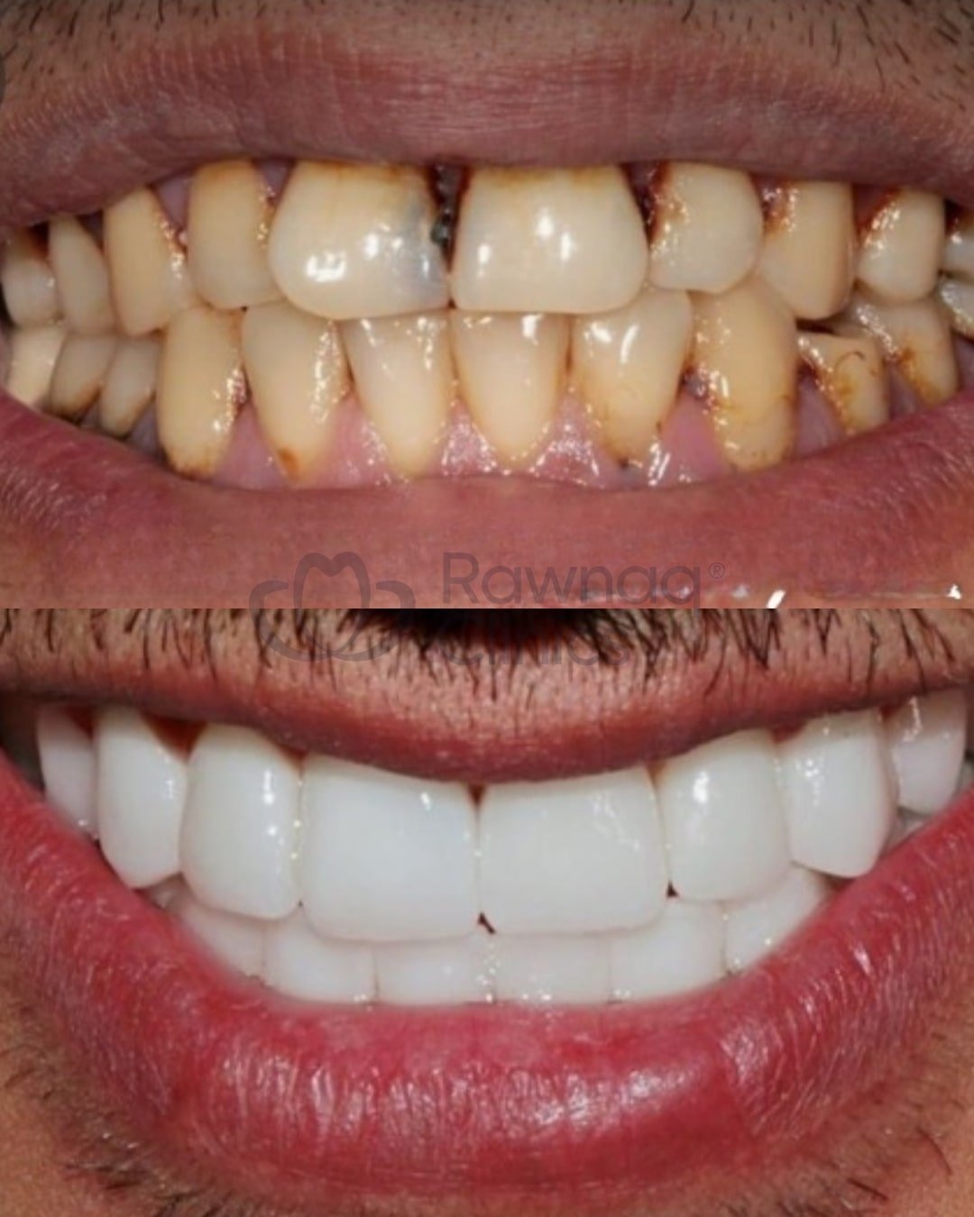
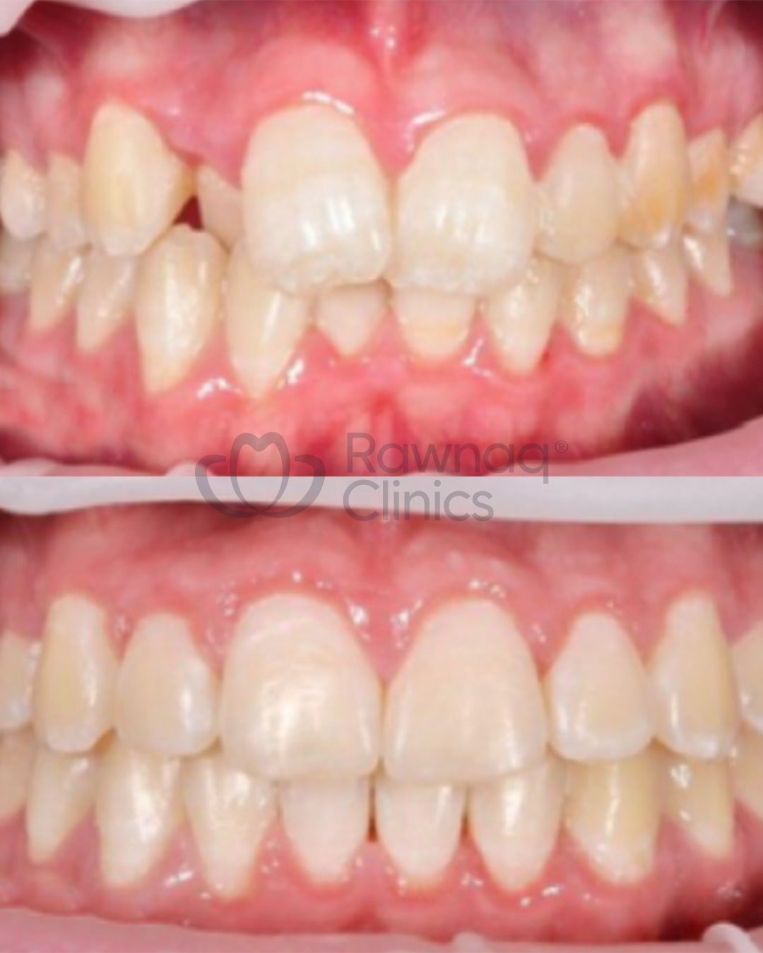
حالات قبل وبعد
اراء عملائنا
تجربتي مع الأخصائية جوانا كانت أكثر من رائعة، شغلها دقيق ولمستها لطيفة وتشرح كل خطوة بكل وضوح وتجاوب على كل سؤال بابتسامة وراحة. حسيت باهتمامها فيني من أول الجلسة لآخرها. فعلاً تعطي ثقة وراحة، وأشكرها من قلبي على أسلوبها الراقي 💕
تتمتع الأخصائية جوانا بكفاءة عالية واحترافية عالية تُقدم تعليمات واضحة وتحرص على راحة العميل، مما يجعل تجربتها ممتازة. لقد كانت أخصائيتي لمدة ثلاث سنوات منذ افتتاح العيادة وحتى الان أتمنى لها التوفيق Specialist Joanna is highly competent and professional. She provides clear instructions and is committed to the client's comfort, making her an excellent experience. She has been my specialist for 3 years since the clinic opened. I wish her success.
مبسوطه مره اني لقيت العياده الحلوه من موظفات استقبال ومن حجز مواعيد ومن اداء العاملات 👍🏻👍🏻
روان الاختصاصية كانت لطيفة ومحترفة في عملها الله يوفقها في حياتها
سويت فلر عند دكتورة نوف بصراحة ماشاءالله يدها خفيفة والنتيجة خيال تبارك الله!🫶🏻
سويت عندهم ليزر ماشاءالله شغل نظيف والنتيجه واضحه بستمر معهم بأذن الله




































